Domov ZdravjeZdravo življenje KAJ JE ZOBNI VSADEK?

KAJ JE ZOBNI VSADEK?

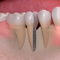
Zobni vsadek ali implantat je nadomestek zobne korenine, večinoma izdelan iz telesu prijaznega materiala, titana. Služi kot podpora protetičnemu zobnemu nadomestku, ki pacientu povrne naravni fizični videz in žvečno funkcijo.

Z zobnimi vsadki rešujemo probleme brezzobih čeljusti ali nekaj manjkajočih zob, lahko pa nadomestimo le en zob. Poznamo implantatno podprte proteze in mostičke ter zobne vsadke s prevleko. Ta je lahko kovinsko-keramična ali cirkonij-keramična.

Velika prednost uporabe protetičnih nadomestkov na zobnih vsadkih je njihova stabilnost. Zobni vsadeki so namreč nadomestki pravih zobnih korenin, zato se med hranjenjem ali govorjenjem ne premikajo. Omogočajo naravnejši in udobnejši rezultat kot mostički ali klasične proteze, kar izboljša počutje in življenjsko kakovost.
Nenehen razvoj na področju implantologije je pripomogel k poenostavitvi vstavljanja zobnih vsadkov, ki ga lahko opravi primerno usposobljen zobozdravnik. Postopek je bistveno enostavnejši, hitrejši in skorajda neboleč.

Možnost zdravljenja
Izguba zob je pogost pojav, saj kar 80 % svetovne populacije nima vsaj enega zoba, 30 % populacije pa trpi zaradi popolne izgube zob. Nekateri tradicionalni postopki rekonstrukcije manjkajočih zob vključujejo brušenje preostalih zdravih zob, tako da je vsadek pogosto najbolj optimalna terapija.
Zobna implantacija je ena izmed najbolj zaupanja vrednih metod zdravljenja v medicini, saj stopnja uspešnosti zdravljenja dosega med 96 % in 99 %.
Vgradnja vsadkov je primerna za večino odrasle populacije. Obstajajo relativne omejitve v primeru določenih boleznih, kot je nekontroliran diabetes in nekatere resne kronične bolezni srca, ledvic, psihoz, itd.
Premislite, zakaj brusiti zdrave zobe, da bi se naredil mostiček, če se manjkajoči zob lahko nadomesti z vsadkom in s tem ne poškodujemo ostalih zob.
Vsadki vam lahko povrnejo polno kakovost življenja in samozavesten nasmeh!
Spoznajte svoj vsadek
Svetujemo vam, da ste pri svojem zdravljenju kar se da proaktivni. Na svetu obstaja mnogo implantoloških sistemov, ki pa se po kvaliteti lahko močno razlikujejo. Podjetja, katerim je dolgoročni uspeh zdravljenja ključnega pomena, vlagajo veliko sredstev v raziskave in razvoj. V tem segmentu je Straumann številka 1 na svetu. Vsak Straumann izdelek, ki ga bo zobozdravnik uporabljal pri vašem zdravljenju je predhodno izpostavljen vsaj 5 letom temeljitih kliničnih raziskav.

Nekaj vprašanj, ki jih lahko zastavite vašemu zobozdravniku, ko se odločate za zdravljenje z zobnimi vsadki:
– Kakšna vrsto in znamko implantatov uporablja?
– Ali obstaja veliko kliničnih dokazov, ki dokazujejo kvaliteto vsadkov in stopnjo uspeha zdravljenja?
– Katero blagovno znamko implantantov bi vaš zobozdravnik izbral zase ali za svojega družinskega člana?
– Kako dolgo vaš zobozdravnik uporabljal ta implantološki sistem in zakaj?
Promocijsko besedilo

© Vse pravice pridržane | Tridea d.o.o., Podkraj pri Zagorju 3A, 1410 Zagorje ob Savi